Guzy i cysty w jamie ustnej: diagnostyka

Guzy i cysty w jamie ustnej to narośle lub zmiany powstające w obrębie szczęki lub tkanek miękkich jamy ustnej. Guz to anormalna narośl na tkance. Cysta to natomiast zmiana wypełniona płynem.
Czasami guzy i cysty na szczęce nazywa się odontologicznymi. Przyjmują one różne kształty i rozmiary. Zasadniczo są niezłośliwe, ale mogą zaatakować kości i okoliczne tkanki, w tym zęby.
Leczenie guzów i cyst na szczęce zależy od rodzaju zmiany, etapu jej rozwoju i objawów. Możliwe jest leczenie chirurgiczne, farmakologiczne lub kombinacja obu.
Guzy i cysty w jamie ustnej: rodzaje
Istnieje wiele rodzajów tego typu zmian w jamie ustnej. Oto niektóre z nich:
Szkliwiak

To dość często występujący guz. Rośnie wolno i jest niezłośliwy. Najczęściej pojawia się w okolicy zębów trzonowych. Może zaatakować także kości i tkanki miękkie.
Guz ten może odbudować się po wyleczeniu. Zastosowanie interwencji chirurgicznej zmniejsza ryzyko nawrotu.
Ziarniniak
Ziarniniak to niezłośliwa zmiana, która zwykle pojawia się w przedniej części żuchwy. Czasami rośnie szybko i powoduje ból. Może nawet doprowadzić do uszkodzenia kości.
Ziarniniak ma tendencję do nawracania nawet po leczeniu chirurgicznym.
Torbiel okołozębowa

Zmiana ta dotyczy tkanek otaczających zęby. Najczęściej pojawia się przy ósemkach, które jeszcze nie zaczęły się wyrzynać, ale może też objąć inne zęby.
Keratocysta
Znana także jako torbiel rogowaciejąca. Często nawraca po usunięciu chirurgicznym. To niezłośliwa zmiana, która rośnie powoli, ale może uszkodzić lokalne struktury.
Zwykle zmiana rozwija się na żuchwie przy zębach trzonowych. Cysta tego rodzaju może pojawić się u osób z zespołem nabłoniaków znamionowych.
Czytaj teraz: Wybielanie zębów – opis i rodzaje typowych zabiegów
Śluzak
Śluzak to rzadki, wolno rosnący, niezłośliwy guz występujący zwykle na żuchwie. Może osiągnąć spore rozmiary i zaatakować tkanki wokół zębów, a nawet spowodować ich przesunięcie się.
Guzy tego typu również mają tendencję do nawracania.
Zębiak
To najczęstszy guz jamy ustnej. Zębiaki często nie dają symptomów, ale mogą przeszkodzić w rozwoju zębów. Ten typ zmiany zbudowany jest z tkanki zębowej i tworzy się wokół zęba. Może wyglądać jak ząb lub jak zwapniały guzek.
Guzy i cysty w jamie ustnej: przyczyny

Guzy i cysty w jamie ustanej powstają wskutek zmian w obrębie komórek uczestniczących w rozwoju zębów. Inne guzy i torbiele mogą pojawiać się w konsekwencji anomalii dotyczących innych tkanek, bez związku z zębami.
Przyczyny powstawania guzów i cyst są jak dotąd nieznane. Wiąże się je jednak często z uwarunkowaniami genetycznymi. Co więcej, czynnik ryzyka stanowi zespół nabłoniaków znamionowych – osobom cierpiącym na niego brak genu hamującego rozwój guzów.
Mutacje genetyczne powodujące ten zespół są dziedziczne. Powodują one rozwój licznych keratocyst i zmian skórnych.
Czytaj teraz: Dlaczego zęby są wrażliwe na ból?
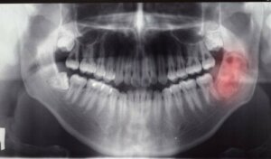
Diagnostyka
Guzy i cysty w jamie ustnej zwykle nie dają objawów i odkrywa się je przypadkowo. Czasami jednak mogą prowadzić do stanów zapalnych, bólu zębów czy opuchlizny dziąseł.
W celu uzyskania pełnego obrazu wykonuje się więc badania RTG i pantomogram.
Co więcej, można przeprowadzić biopsję, w celu sprawdzenia czy zmiana jest złośliwa. Na podstawie tych informacji lekarz decyduje o podjęciu odpowiedniego leczenia.
Wszystkie cytowane źródła zostały gruntownie przeanalizowane przez nasz zespół w celu zapewnienia ich jakości, wiarygodności, aktualności i ważności. Bibliografia tego artykułu została uznana za wiarygodną i dokładną pod względem naukowym lub akademickim.
- Butler, F. S., & Harrigan, W. F. (1954). Ameloblastoma. The American Journal of Surgery. https://doi.org/10.1016/0002-9610(54)90435-3
- Chrcanovic, B. R., López Alvarenga, R., & Freire-Maia, B. (2011). Quiste óseo simple: Reporte de un caso y revisión de la literatura. Avances En Odontoestomatología. https://doi.org/10.4321/s0213-12852011000400005
- Radich Michea, A. (2003). Quiste Odontogénico calcificante asociado a Odontoma Fibrodontoma ameloblástico ¿ Versatilidad diagnóstica? Informe de caso clínico con seguimiento a siete años sin recidiva. Revista de La Facultad de Odontología Universidad de Valparaíso.
Ten tekst jest oferowany wyłącznie w celach informacyjnych i nie zastępuje konsultacji z profesjonalistą. W przypadku wątpliwości skonsultuj się ze swoim specjalistą.







