Bezobjawowe zapalenie płuc a koronawirus

Koronawirus jest czynnikiem odpowiedzialnym za pandemię, która wstrząsnęła całym światem. Jego szeroki zakres potencjalnych objawów oznacza, że często trudno jest jednoznacznie stwierdzić, czy ktoś ma infekcję, czy nie. Jednym z takich objawów jest bezobjawowe zapalenie płuc.
Bezobjawowe zapalenie płuc oznacza, że ludzie zarażeni wirusem nie odczuwają trudności w oddychaniu, mimo tego, że ich ciała otrzymują coraz mniej tlenu. Wiąże się to ze sporym ryzykiem, ponieważ znacząco utrudnia wykrycie infekcji.
Nowy koronawirus stanowi wyzwanie dla wszystkich naukowców i pracowników służby zdrowia. Musimy więc zachować czujność i informować o kolejnych cechach, które odkrywają naukowcy i lekarze. W naszym dzisiejszym artykule zajmiemy się bardziej szczegółowo jednym z nowszych odkryć, jakim jest związek infekcji wirusem SARS-CoV-2 z bezobjawowym zapaleniem płuc.
Bezobjawowe zapalenie płuc – na czym polega jego związek z zakażeniem koronawirusem?
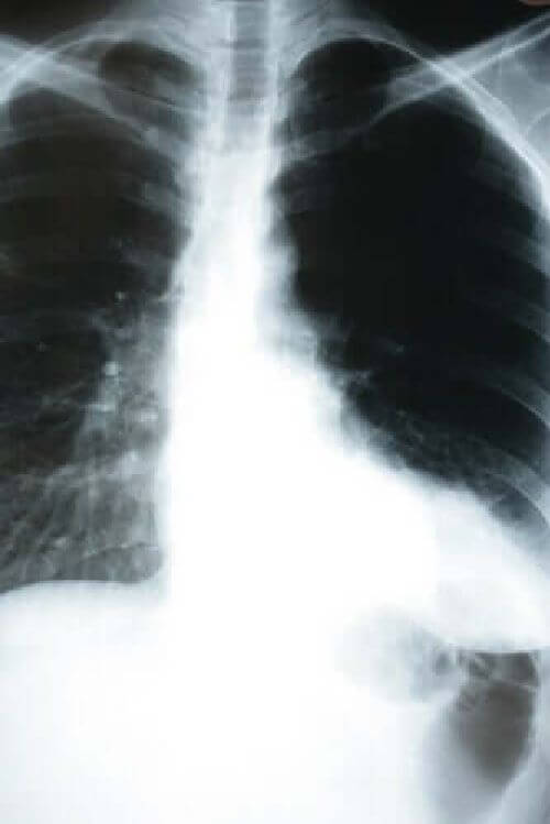
Bezobjawowe zapalenie płuc jest zwykle wykrywane przez pomiar nasycenia krwi tlenem lub przez prześwietlenie klatki piersiowej. Jest to jedno z możliwych powikłań wynikających z infekcji wirusem SARS-CoV-2.
Koronawirusy są w rzeczywistości całą rodziną wirusów. Nowy przedstawiciel tej grupy pojawił się w listopadzie 2019 r. w chińskim mieście Wuhan. To wirus, który powstał na drodze mutacji. Tak więc, pomimo wszystkich obecnie prowadzonych prac, naukowcy nadal muszą przeprowadzić o wiele więcej badań na jego temat.

Rozprzestrzenia się on przez krople aerozolu oddechowego, które wydalamy, gdy kaszlemy, kichamy, a nawet mówimy. Kropelki te mogą dotrzeć do dróg oddechowych innej osoby lub nawet przez pewien czas pozostawać na powierzchni zewnętrznej.
Problem z tym wirusem polega na tym, że jest bardzo zaraźliwy. Prawda jest taka, że wiele osób nie ma objawów infekcji, ale śmiertelność u osób starszych lub tych z osłabionym układem odpornościowym jest bardzo wysoka.
Być może uznasz także ten artykuł za interesujący: Najważniejsze środki zapobiegawcze przeciwko chorobie COVID-19
Czym jest bezobjawowe zapalenie płuc?
Bezobjawowe zapalenie płuc jest jednym z poważniejszych problemów powodowanych przez infekcję koronawirusem SARS-CoV-2. Dzieje się tak wtedy, gdy ludzie zarażeni nie mają problemów z oddychaniem pomimo obecności w ich organizmach koronawirusa i bardzo niskiego poziomu tlenu we krwi.
Zwykle, gdy ktoś ma niski poziom tlenu lub musi być podłączony do maszyny wspomagającej oddychanie, jest także w szoku. W takich sytuacjach normalnym zjawiskiem są trudności w oddychaniu lub aktywacja mechanizmów obrony organizmu.

Jednak w przypadku bezobjawowego zapalenia płuc prawda jest dokładnie odwrotna. W kilku szpitalach w Nowym Jorku i Brazylii zaobserwowano, że wielu pacjentów, u których wykryto bezobjawowe zapalenie płuc wyglądało na zdrowych.
Jednak postawienie takiej diagnozy wymagało najpierw przeprowadzenia pomiaru poziomu tlenu we krwi lub prześwietlenia klatki piersiowej.
Problem polega jednak na tym, że ta sytuacja niedotlenienia postępuje bez świadomości pacjenta. W rezultacie wiele osób zmarło nagle z powodu zakłócenia oddychania będącego pośrednim efektem zakażenia koronawirusem.
Zapewne zaciekawi Cię także nasz inny artykuł: Wpływ oddychania na mózg – jak świadomie z niego korzystać?
Jakie jest wytłumaczenie tego zjawiska?
Niestety prawda jest taka, że lekarze i naukowcy nie znaleźli jeszcze wyjaśnienia dla bezobjawowego zapalenia płuc. Niektórzy badacze uważają, że koronawirus SARS-CoV-2, atakując komórki płuc, powoduje w nich pewne zmiany, które sprawiają, że płuca nadal są w stanie wydalać dwutlenek węgla, ale nie przyswajają już tlenu.
To wysokie stężenie dwutlenku węgla powoduje, że mózg wyczuwa ten „brak powietrza”. Kiedy osoba chora wydala go stosunkowo normalnie, mózg nie otrzymuje jednak żadnego powiadomienia o braku tlenu.
Inną hipotezą jest to, że każdy z nas ma inną tolerancję na poziom tlenu we krwi. Może to oznaczać, że u niektórych osób może nie być możliwe wykrycie, że ich nasycenie krwi tlenem jest naturalnie niskie, dopóki nie spadnie poniżej poziomu krytycznego. Eksperci uważają nawet, że może to być związane ze zdolnością wirusa do tworzenia zakrzepicy.
Tak czy inaczej, ważne jest to, aby pamiętać, że istnieje bezobjawowe zapalenie płuc i że jest to bardzo niebezpieczna sytuacja w przypadku infekcji wirusem SARS-CoV-2.
Tak więc, jeśli podejrzewasz, że masz koronawirusa, zalecamy lekarzom zmierzenie poziomu nasycenia krwi tlenem. A nawet prześwietlenie klatki piersiowej. Jest to szczególnie ważne, jeśli miałeś kontakt z osobą zarażoną lub przebywałeś w rejonie o wysokim wskaźniku infekcji.
Wszystkie cytowane źródła zostały gruntownie przeanalizowane przez nasz zespół w celu zapewnienia ich jakości, wiarygodności, aktualności i ważności. Bibliografia tego artykułu została uznana za wiarygodną i dokładną pod względem naukowym lub akademickim.
- Coronavirus: qué es la “neumonía silenciosa” y por qué dificulta el diagnóstico de casos graves de covid-19 – BBC News Mundo. (n.d.). Retrieved April 29, 2020, from https://www.bbc.com/mundo/noticias-52420960
- Neumonía por Nuevo Coronavirus (nCoV) en China. (n.d.). Retrieved April 29, 2020, from https://www.riojasalud.es/profesionales/epidemiologia/alertas-epidemiologicas/neumonia-por-nuevo-coronavirus-ncov-en-china
- SARS, una neumonía atípica de etiología desconocida | Offarm. (n.d.). Retrieved April 29, 2020, from https://www.elsevier.es/es-revista-offarm-4-articulo-sars-una-neumonia-atipica-etiologia-13057215
Ten tekst jest oferowany wyłącznie w celach informacyjnych i nie zastępuje konsultacji z profesjonalistą. W przypadku wątpliwości skonsultuj się ze swoim specjalistą.







