Wysięk w osierdziu - czy jest groźny

Podstawowym badaniem określającym czy występuje wysięk w osierdziu jest echokardiografia lub echokardiogram. Inne testy obejmują elektrokardiogram, prześwietlenie klatki piersiowej, tomografię komputerową i rezonans magnetyczny.
Jest to stan zapalny blaszek znajdujących się w sercu człowieka. Ma on różne możliwe przyczyny, ale zazwyczaj towarzyszy mu gromadzenie się płynu w tak zwanym worku osierdziowym.
Jakie testy wykrywają wysięk w osierdziu?
Wysięk w osierdziu to stan, w którym dochodzi do nadmiernego gromadzenia się płynu między sercem a osierdziem. To ostatnie to swoisty worek okrywający serce. Szacuje się, że po przekroczeniu objętości 50 ml płynu występuje wysięk. Jak więc możemy wykryć taki stan oznaczający wysięk w osierdziu?
Pomiędzy sercem a osierdziem zawsze znajduje się cienka warstwa płynu. Nie przeszkadza to w pracy tego mięśnia. Jednak gdy stan ten jest patologiczny oznacza chorobę lub uraz, może dojść do zapalenia. To z kolei zwiększa ilość płynu jeszcze bardziej.
Czasami wysięk w osierdziu można uzyskać bez wcześniejszego pojawienia się zapalenia.
Wysięk osierdziowy naciska na serce i wpływa na jego działanie. Nieleczony może spowodować niewydolność serca i doprowadzić nawet do śmierci. Przeczytaj ten artykuł, aby dowiedzieć się o możliwych badaniach wykrywających wysięk osierdziowy.
Występowanie
Najczęstszą przyczyną wysięku w osierdziu jest zakażenie wirusowe. Często przebiega ono z jednoczesnym zapaleniem mięśnia sercowego. Zakażenie bakteryjne w tych czasach występuje bardzo rzadko, z wyjątkiem przypadków gruźlicy. Zdarza się to najczęściej przy chorobie AIDS – gdy układ odpornościowy jest osłabiony.
Sposoby pozwalające wykryć wysięk w osierdziu

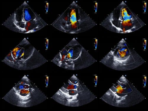
Echokardiogram- wysięk w osierdziu
Obrazy z echokardiogramu, to jedna z miar do wykrywania wysięku w osierdziu. Ta technika jest jedną z najczęściej stosowanych w diagnozowaniu chorób serca i najczęściej stosowaną metodą ilościowego określania nagromadzonej w osierdziu cieczy.
Echokardiogram jest zazwyczaj najpopularniejszym preferowanym badaniem do wykrywania wysięku osierdziowego. Nazywa się go również echokardiografią lub USG serca i jest to badanie, które pozwala lekarzom zobaczyć całą strukturę serca i zbadać jego zdolność do prawidłowego pompowania krwi.
Echokardiogram dopplerowski pozwala również lekarzom określić dokładną prędkość przepływu krwi z serca. Z technicznego punktu widzenia dwuwymiarowy echokardiogram w trybie M jest idealną techniką do diagnozowania, oceny ilościowej i monitorowania wysięku osierdziowego.
Badanie to umożliwia w sposób nieinwazyjny ocenę anatomii serca, a także ocenę ruchu mięśnia sercowego i zastawek oraz przepływ krwi w obrębie przedsionków i komór serca. Ocenia też duże naczynia sercowe (aorta, żyły główne, tętnica i żyły płucne) i naczynia wieńcowe.
Stwierdzenie braku echa pomiędzy nasierdziem a bocznym osierdziem pozwala lekarzom na rozpoznanie wysięku osierdziowego. Następnie kardiolog określa wielkość wysięku na podstawie ilości miejsca między dwiema warstwami osierdzia.
Należy zauważyć, że istnieją zasadniczo dwa rodzaje echokardiogramu. Pierwszy z nich określany jest jako przezklatkowy, w którym urządzenie jest umieszczane na klatce piersiowej, nad sercem i emituje ultradźwięki. Drugim rodzajem jest przezprzełykowy, w którym urządzenie wprowadza się do przewodu pokarmowego aż do przełyku.
Ta ostatnia opcja dostarcza bardziej szczegółowych danych.
Elektrokardiogram

Jest to metoda pośrednia polegająca na rejestracji czynności mięśnia sercowego z powierzchni klatki piersiowej w postaci różnicy napięć pomiędzy dwiema elektrodami. Technik lub lekarz graficznie odczytuje zapis w formie krzywej elektrokardiograficznej, na specjalnym papierze milimetrowym bądź na ekranie monitora.
Generalnie lekarze mogą zauważyć pewne nieprawidłowości w zespole QRS – fragmencie zapisu elektrokardiograficznego. Jest to wektor, który odzwierciedla sumę wszystkich wyładowań elektrycznych, które występują w komórkach komór. Ogólnie rzecz biorąc, gdy występuje wysięk osierdziowy, lekarze mogą zauważyć zmniejszenie napięcia zespołu QRS.
Podobnie w takich przypadkach mogą zaobserwować spłaszczenie załamków T. Jeśli wysięk jest bardzo silny i występuje blokada, mogą zaobserwować przemianę wykresu elektrycznego. Zazwyczaj załamek P wydaje się szeroki i bimodalny, co sugeruje nieprawidłowość w przepływie krwi.
Przeczytaj także: Wpływ alkoholu na serce prawdy i mity
RTG klatki piersiowej, tomografia komputerowa i rezonans magnetyczny
Urządzenie rezonansu magnetycznego
Chociaż na zdjęciu rentgenowskim można zobaczyć zmiany strukturalne w sercu, najlepsze wyniki daje rezonans magnetyczny.
Radiografia klatki piersiowej to zdjęcie rentgenowskie, które pozwala lekarzom zobaczyć wszystkie narządy w okolicy klatki piersiowej. Tomografia komputerowa osiowa, czyli tomografia komputerowa, to badanie wykorzystujące również promieniowanie rentgenowskie i umożliwiające lekarzom uzyskanie obrazów w postaci przekrojów lub w trzech wymiarach.
Przeczytaj także: Zastrzyk domięśniowy w serce – czym jest i kiedy się go stosuje
Z kolei obrazowanie metodą rezonansu magnetycznego (MRI) jest badaniem, w którym lekarze uzyskują szczegółowe obrazy wnętrza ciała w dwóch lub trzech wymiarach. Dostarcza znacznie bardziej szczegółowych informacji niż zwykłe prześwietlenie lub skan CAT.
Kiedy pojawia się wysięk osierdziowy, następuje zmiana sylwetki serca, którą można wykryć w jednym lub wszystkich testach. Zazwyczaj sylwetka ta powiększa się, gdy w worku osierdziowym gromadzi się ponad 250 ml płynu.
Jednak tylko przy więcej niż 50 ml objętości płynu można mówić o patologicznym wysięku osierdziowym. Dlatego na przykład prześwietlenie klatki piersiowej nie pokazuje powiększonej sylwetki, nawet jeśli występują nieprawidłowości. Skany CAT i MRI są znacznie bardziej rozstrzygające i są często używane.
Ocena ilościowa wysięku w osierdziu
Nie ma ogólnie przyjętych kryteriów ilościowego określania objętości wysięku osierdziowego. Dzieje się tak, ponieważ wszystkie metody mają ograniczenia w określaniu rzeczywistej ilości płynu w worku osierdziowym.
Najbardziej akceptowaną techniką kwantyfikacji jest ta zaproponowana przez doktora Weitzmana. Opiera się na echokardiografii M-mode. Proponuje dodanie wolnych od echa przestrzeni w przednich i tylnych workach na końcu rozkurczu.
Nazywają to niewielkim wysiękem, gdy suma objętości płynu wynosi 10 mm lub mniej; średnim ( między 10 a 19 mm) lub poważnym, gdy wynosi 20 mm lub więcej.
Ważne jest, aby przed postawieniem diagnozy wykluczyć obecność guzów serca i torbieli osierdzia. Ponadto lekarze powinni sprawdzić, czy nie ma wysięku w opłucnej ani obecności nadmiaru tłuszczu nasierdziowego.
Wszystkie cytowane źródła zostały gruntownie przeanalizowane przez nasz zespół w celu zapewnienia ich jakości, wiarygodności, aktualności i ważności. Bibliografia tego artykułu została uznana za wiarygodną i dokładną pod względem naukowym lub akademickim.
- Martín-García, A. C., Peláez, E. D., Martín-García, A., & Sánchez, P. L. (2017). Derrame pericárdico. Taponamiento cardíaco. Medicine-Programa de Formación Médica Continuada Acreditado, 12(44), 2621-2628.
- Sociedad Española de Imagen Cardíaca. Complejo QRS. https://ecocardio.com/documentos/biblioteca-preguntas-basicas/preguntas-al-cardiologo/1046-complejo-qrs.html
- MedlinePlus. Ecocardiografía. https://medlineplus.gov/spanish/ency/article/003869.htm
- MedlinePlus. Trastornos del pericardio. https://medlineplus.gov/spanish/pericardialdisorders.html
- MedlinePlus. Electrocardiograma.https://medlineplus.gov/spanish/pruebas-de-laboratorio/electrocardiograma/
- National Heart, Lung and Blood Institute. Radiografía de tórax. https://www.nhlbi.nih.gov/health-topics/espanol/radiografia-de-torax
Ten tekst jest oferowany wyłącznie w celach informacyjnych i nie zastępuje konsultacji z profesjonalistą. W przypadku wątpliwości skonsultuj się ze swoim specjalistą.







