Trądzik torbielowaty: agresywna odmiana trądziku

Trądzik torbielowaty to wyjątkowo agresywna odmiana trądziku. Pojawia się głównie na twarzy w formie nieładnych grudek. Dowiedz się co go wywołuje oraz w jaki sposób możesz z nim walczyć.
Trądzik torbielowaty to najbardziej agresywna odmiana trądziku. W przypadku tego zaburzenia niektóre osoby muszą zmagać się z silniejszymi objawami niż inne. Jednak trądzik sam w sobie występuje dość często. Szacuje się, że dotyka około 80 procent populacji w wieku od 11. do 30. roku życia.
Uznaje się, że trądzik to głównie przypadłość młodych osób. I rzeczywiście, chociaż jest bardziej rozpowszechniony u osób przed 30. rokiem życia, to większość przypadków występuje u osób przed dwudziestką. Istnieje kilka odmian trądziku, a jedną z nich stanowi trądzik torbielowaty.
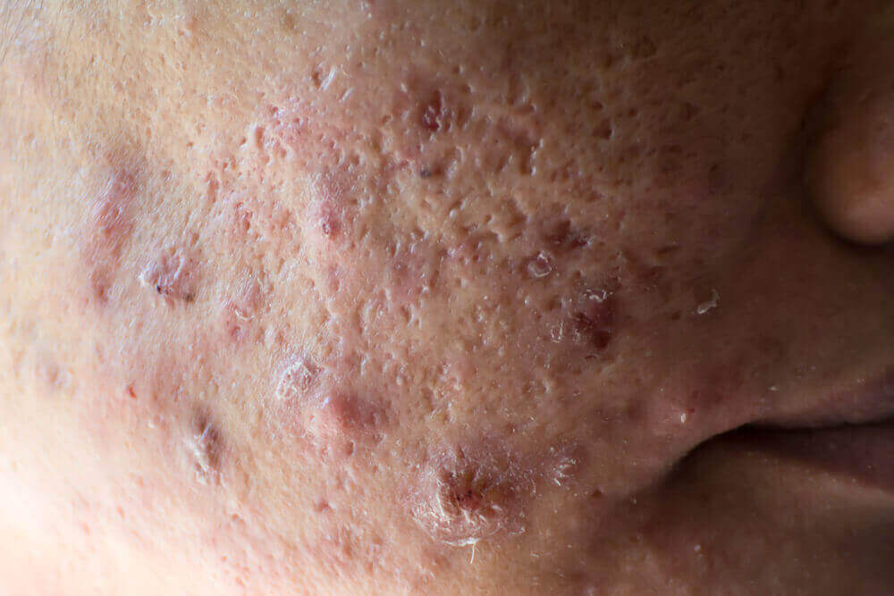
Trądzik torbielowaty to agresywna odmiana trądziku, w której zmiany chorobowe są bardziej widoczne niż w przypadku typowego wariantu trądziku. Jeśli na Twojej skórze pojawiają się grudki objęte stanem zapalnym zamiast wągrów, możesz cierpieć na trądzik torbielowaty.
Co więcej, takie grudki są bolesne, a stan zapalny sprawia, że nabierają czerwonego koloru.
Wiadomo, że trądzik torbielowaty pojawia się zazwyczaj na twarzy. Sprawia, że Twoja cera wygląda niezbyt ładnie, przez co może również wpływać na Twój stan psychiczny. Ten rodzaj trądziku, w przeciwieństwie do jego standardowej odmiany, może nawet zostawiać po sobie blizny.
Ślady po nim są widoczne na długo po zniknięciu zmian skórnych objętych stanem zapalnym.
Chociaż trądzik torbielowaty pojawia się zazwyczaj na twarzy, to może zaatakować również inne części ciała. Zdarza się to rzadziej, ale może także wystąpić na klatce piersiowej. Jeszcze rzadziej pojawia się na kończynach górnych.
Trądzik torbielowaty, czyli najbardziej agresywna odmiana trądziku

Trądzik torbielowaty pojawia się z powodu tych samych mechanizmów co typowy trądzik. Innymi słowy, Twoje gruczoły łojowe zostają zablokowane i nie są w stanie pozbywać się tego, co w nich zalega.
Gruczoły łojowe mają za zadanie natłuszczać Twoją skórę, wytwarzając oleistą substancję nazywaną sebum. Dzięki temu Twoja skóra pozostaje nawilżona.
Jednak jeśli ujścia gruczołów, które wydzielają sebum, zostaną zablokowane, na zewnątrz gruczołu zaczynają gromadzić się bakterie. Rodzaj bakterii, które zasiedlają pory, determinuje stopień nasilenia trądziku torbielowatego.
Oznacza to, że stan zapalny pojawia się w wyniku działalności mikroorganizmów. Występowanie trądziku torbielowatego wiąże się również z hormonami. Okazuje się, że w jego rozwoju istotną rolę odgrywa testosteron. Właśnie dlatego ta odmiana trądziku częściej dotyka mężczyzn niż kobiety.
W przypadku kobiet na rozwój trądziku torbielowatego wpływa cykl menstruacyjny. Z tego powodu na jego występowanie bardziej narażone mogą być kobiety cierpiące na zespół policystycznych jajników.
Kobiety cierpiące na zespół policystycznych jajników mają większą tendencję do rozwoju otyłości. U osób otyłych występuje większa ilość tkanki tłuszczowej, która może zamieniać hormony żeńskie na testosteron.
Tym samym wzrost poziomu testosteronu u takich kobiet może tłumaczyć dlaczego mają większe predyspozycje do zapadania na trądzik torbielowaty.
Przeczytaj również: Leczenie zespołu policystycznych jajników – dowiedz się, na czym ono polega!
Stopnie i poziomy rozwoju

Trądzik torbielowaty nie zawsze przyjmuje takie same formy. Osoby, które się z nim zmagają, mogą doświadczyć trzech etapów jego rozwoju:
- Łagodny: Na skórze pacjenta występuje do pięciu grudek objętych stanem zapalnym. Może również mieć do pięciu pryszczy. To nadal agresywna odmiana trądziku. Jednak lekarz bez problemu nad nią zapanuje. Zazwyczaj po prostu przepisze maść i udzieli porad odnośnie właściwej pielęgnacji skóry.
- Umiarkowany: Pacjent ma więcej niż dziesięć zmian skórnych wypełnionych ropą, ale mniej niż 20. Taki rodzaj trądziku wymaga stosowania leków doustnych. Istnieje również duże ryzyko wystąpienia blizn.
- Ciężki: To najbardziej agresywna odmiana trądziku torbielowatego. Na ciele pacjenta znajduje się ponad 20 zmian chorobowych. Takie grudki są zazwyczaj objęte stanem zapalnym i wydzielają ropę. Poza tym są bolesne, gdy się je przyciśnie. Taka odmiana niezbyt dobrze reaguje na leczenie i może wymagać podawania leków przeciwzapalnych w formie zastrzyków. Co więcej, jeśli ropy jest dużo, może zajść konieczność usunięcia jej podczas zabiegu chirurgicznego.
Czytaj dalej: Leczenie trądziku – najlepsze metody do wypróbowania
Leczenie trądziku torbielowatego, najbardziej agresywnej odmiany trądziku

Poza łagodną formą trądziku, którą można leczyć stosując maści, inne jej odmiany wymagają przyjmowania leków doustnych lub w formie zastrzyków. Lekarz dobierze właściwe leczenie, dostosowane do potrzeb każdego pacjenta.
Pierwszy etap leczenia polega na przyjmowaniu antybiotyków. Niszczą one bakterie zasiedlające gruczoły łojowe. Taka terapia może trwać kilka miesięcy, a czasami nawet rok.
Drugi etap leczenia to podawanie spironolaktonu. Ten lek jest przepisywany kobietom cierpiącym na trądzik torbielowaty, a zwłaszcza tym, u których występuje zespół policystycznych jajników. Działanie spironolaktonu polega na zmniejszaniu produkcji testosteronu przez komórki tłuszczowe.
I w końcu najbardziej skuteczny lek, który jest stosowany jedynie w ściśle określonych przypadkach, to izotretynoina. Stosuje się ją doustnie. Jeśli zadziała, będzie w stanie zmniejszyć stan zapalny i odblokować zatkane ujścia gruczołów łojowych.
Jednak izotretynoina jest problematyczna, ponieważ może wywoływać silne działania niepożądane. Może ją przepisać dermatolog, a pacjent musi chodzić na regularne wizyty kontrolne. Dzieje się tak, ponieważ lek ten może prowadzić do powstania znaczących wad płodu.
Teraz już wiesz, że jeśli cierpisz na trądzik torbielowaty musisz udać się do lekarza lub dermatologa. Zdiagnozuje on Twój stan oraz stopień zaawansowania choroby i dobierze właściwe leczenie. Pamiętaj, aby nie leczyć się na własną rękę, bo tylko pogorszysz swój stan.
Wszystkie cytowane źródła zostały gruntownie przeanalizowane przez nasz zespół w celu zapewnienia ich jakości, wiarygodności, aktualności i ważności. Bibliografia tego artykułu została uznana za wiarygodną i dokładną pod względem naukowym lub akademickim.
- Norris-Squirrell, Frances, and Marina Pereira. “Acne conglobata therapeutic approach.” Dermatología Revista Mexicana 61.4 (2017): 308-311.
- López-Estebaranz, J. L., P. Herranz-Pinto, and B. Dréno. “Consenso español para establecer una clasificación y un algoritmo de tratamiento del acné.” Actas Dermo-Sifiliográficas 108.2 (2017): 120-131.
- PEÑALOZA MARTÍNEZ, JOSÉ ÁLVARO. “El acné.” Revista de la Facultad de Medicina 46.004 (2003).
Ten tekst jest oferowany wyłącznie w celach informacyjnych i nie zastępuje konsultacji z profesjonalistą. W przypadku wątpliwości skonsultuj się ze swoim specjalistą.







