Fluor dentystyczny - w jaki sposób pomaga zapobiegać próchnicy?

Od dawna fluor dentystyczny pomaga zapobiegać próchnicy. Oprócz mycia zębów i kontrolowania diety, stosowanie tego pierwiastka jest jednym z głównych sposobów ochrony zębów przed próchnicą.
Jak możesz stosować fluor dentystyczny? Jak i kiedy należy go używać? Czy używanie go w niektórych przypadkach może być szkodliwe? Ważne jest określenie odpowiedzi na te pytania. Opowiemy o tym w tym artykule.
Co to jest fluor dentystyczny?
Fluor dentystyczny to naturalny minerał, który występuje na powierzchni ziemi, w źródłach wody i niektórych produktach spożywczych. Można go również znaleźć w produktach zwierzęcych, takich jak łosoś, sardynki i wątroba; lub w produktach roślinnych, takich jak herbata, pomidory, ziemniaki i szpinak.
Oprócz włączenia go do diety ze źródeł naturalnych możesz również dodawać ten minerał do kilku produktów, takich jak suplementy. Ponieważ specjaliści wykazali, że fluor dentystyczny znany też jako fluorek przyczynia się do zapobiegania próchnicy, niektóre społeczności stosują go w sieci wodociągowej, aby zmniejszyć wpływ tego problemu. W ten sposób woda zawiera fluor. Podobnymi właściwościami cechują się także sole i mleko.
Można go znaleźć między innymi w produktach do pielęgnacji zębów, takich jak pasta do zębów, płyny do płukania jamy ustnej i nici dentystyczne. Podobnie jest z materiałami, których dentyści używają w swoich gabinetach, aby zapobiegać i leczyć problemy.
Organizm ludzki posiada mechanizmy metaboliczne, które regulują i kontrolują wchłanianie, wykorzystanie i wydalanie tego pierwiastka. Większość fluoru zatrzymujemy w naszych kościach i zębach, a niewielką część w białych tkankach. Nadmiar usuwamy z moczem, a jeszcze mniejsze ilości wraz z potem i kałem.

Czym są ubytki?
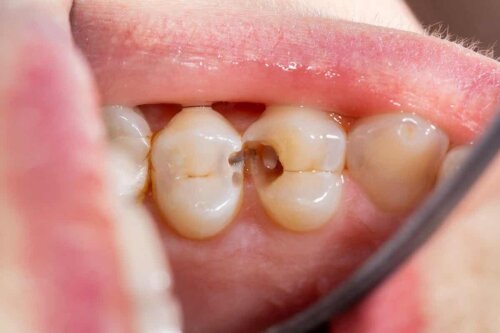
Ubytki dotykają zarówno dzieci, jak i dorosłych. W szczególności jest to problem zakaźny, który wpływa na minerały na powierzchni zębów. Mikroorganizmy w jamie ustnej metabolizują cukry zawarte w naszej diecie i wytwarzają kwasy zdolne do atakowania nieorganicznego składnika zębów.
Tkanki twarde ulegają demineralizacji. Przez to zęby tracą swoją strukturę. Kiedy ten proces się rozpocznie, możesz zauważyć nieprzezroczystą białą plamę, która staje się ciemniejsza w miarę postępu uszkodzenia.
Jeśli go nie leczysz, a demineralizacja trwa, w zębach zaczynają pojawiać się ubytki lub dziury, które stają się coraz większe i głębsze. Później powierzchnia zębów mięknie, a uszkodzenia mogą wpływać na obszar miazgi. To z kolei ustępuje bolesnym objawom lub procesowi zakaźnemu.
Możesz być także zainteresowany: 7 nawyków, które wpływają na zdrowie zębów
W jaki sposób fluor może pomóc w zapobieganiu próchnicy?
Fluor dentystyczny pomaga zapobiegać próchnicy dzięki dwóm głównym mechanizmom działania:
- Z jednej strony pierwiastek łączy się chemicznie z kryształami w szkliwie, co przekształca hydroksyapatyt w fluoroapatyt. Substancja bardziej odporna na odwapnienie. Reakcja ta nie jest ani definitywna, ani stabilna, dlatego tak ważne jest częste wystawianie się na działanie tego minerału.
- Z drugiej strony obecność tego pierwiastka w jamie ustnej ogranicza metabolizm płytki bakteryjnej. Zmniejsza to produkcję kwasów odpowiedzialnych za demineralizację zębów, a także hamuje przyleganie do siebie mikroorganizmów, co utrudnia wiązanie i gromadzenie się tego szkodliwego filmu.
Fluor można wprowadzić do organizmu na dwa główne sposoby. Jednym z nich jest systemowy, dzięki któremu połykasz ten minerał poprzez picie wody z fluorem, spożywanie pokarmów lub suplementów, które go zawierają. Ciało następnie rozprowadza je w krwiobiegu i osadza w strukturach zębowych, gdzie powstaje.
Oddziaływanie fluorku na organizm za pomocą tych środków jest ważne, gdy u niemowląt i małych dzieci powstają zęby. Dzieje się tak dlatego, że łączy się z kryształkami szkliwa, dzięki czemu tkanka jest dużo bardziej odporna na ubytki.
Inny sposób to zastosowanie miejscowe. Oznacza to nakładanie minerału na powierzchnie naszych zębów, gdy już przejdą i znajdą się w naszych ustach. W ten sposób fluorek dociera do zębów poprzez pastę do zębów, płyn do płukania ust lub nić dentystyczną, która go zawiera. Możemy go również uzyskać z lakierów lub żeli, które dentysta nałoży w gabinecie.
Należy wspomnieć, że fluor ma również działanie terapeutyczne w przypadku choroby, ponieważ jest w stanie remineralizować szkliwo, gdy dana osoba utraciła kilka minerałów.
Fluor dentystyczny – nadmierne stosowanie
Nadmierne używanie fluoru może być szkodliwe. Jego działanie na zęby w dużej mierze zależy od jego koncentracji. Tak więc, jeśli jest w mniejszych ilościach, jego działanie jest korzystne. Ewentualnie, jeśli jest nadmierna, może powodować pewne skutki uboczne, takie jak uszkodzenie zębów.
Fluoroza to problem, który pojawia się, gdy nadmiernie wystawiamy ząb na działanie fluoru podczas jego formowania. W tym przypadku zęby wyglądają na poplamione białymi lub brązowymi liniami. Szkliwo jest uszkodzone, a w poważniejszych przypadkach ząb może mieć wgłębienia lub deformacje.
Ogólnie rzecz biorąc, społeczności włączają fluor do swoich źródeł wody, aby zmniejszyć częstość występowania próchnicy w populacji poprzez bezpieczne stężenia. W takich przypadkach ogólnoustrojowe włączanie fluoru poprzez suplementy nie jest konieczne.
Optymalne stężenie tego minerału w wodzie pitnej wynosi od 0,7 do 1,2 miligrama na litr (mg/l). Te wartości, oprócz nawyku stosowania pasty z fluorem, wystarczą, aby bez ryzyka uchronić jamę ustną przed problemami. W rzeczywistości pasta do zębów ma tendencję do zawierania poziomów minerału od 1000 do 1200 części na milion (ppm).
Jeśli woda pitna nie zawiera fluoru, dentysta może zasugerować przyjmowanie suplementów zawierających fluor, zwłaszcza w okresie niemowlęcym, kiedy zęby się formują. Dentysta ustali ilość i sposób użycia, który będzie dostosowany do Twojego wieku (lub wieku dziecka) i aktualnego ryzyka próchnicy.
Dodatkowo, jeśli dentysta uzna to za konieczne, może również zasugerować stosowanie pasty do zębów o wyższej zawartości fluoru lub płynów do płukania jamy ustnej zawierających ten minerał.
Przeczytaj także: Endodoncja – czym zajmuje się ten dział stomatologii?
Inne porady dotyczące zapobiegania próchnicy
Chociaż fluorek pomaga zapobiegać próchnicy, nie jest to jedyna rzecz, o której należy pamiętać, jeśli chodzi o dbanie o zdrowie jamy ustnej. Poniżej wymienimy inne praktyki, które mogą pomóc w zapobieganiu rozwojowi tego problemu.
- Szczotkowanie zębów: czyszczenie wszystkich stron wszystkich zębów jest niezbędne, aby wyeliminować płytkę bakteryjną, która powoduje ten problem. Należy je czyścić co najmniej dwa razy dziennie szczoteczką z miękkim włosiem i pastą do zębów zawierającą fluor.
- Nić dentystyczna: Jest niezbędna do uzupełnienia higieny jamy ustnej. Będziesz w stanie dotrzeć do tych obszarów zębów, których nie ma szczoteczka. Powinieneś jej używać przynajmniej raz dziennie. Te trudne miejsca można również czyścić szczoteczkami międzyzębowymi i irygatorami.
- Zbilansowana dieta: Prawidłowe odżywianie i ograniczenie ilości spożywanego cukru prostego, wysoko przetworzonej żywności i napojów gazowanych może pomóc w zapobieganiu próchnicy.
- Żucie gumy bez cukru: Ta praktyka pomaga zębom oczyścić się przez ślinę, którą wytwarza usta podczas żucia. Ponadto zwykle zawierają substytuty cukru, takie jak ksylitol, który pomaga zapobiegać próchnicy.
- Częste wizyty u dentysty: Okresowa kontrola stomatologiczna może pomóc w wykryciu i leczeniu każdego problemu z wyprzedzeniem. Profesjonalne czyszczenie i miejscowe stosowanie fluoru w gabinecie to dodatkowy wysiłek, który chroni Twoje zęby.
- Laki szczelinowe i bruzdowe: dentysta zrobi to, umieszczając specjalny materiał na powierzchniach retencyjnych zębów. W ten sposób łatwiej je wyczyścić i uniknąć gromadzenia się bakterii w trudnych do czyszczenia miejscach.
- Pij wystarczającą ilość płynów: Pacjenci cierpiący na suchość błony śluzowej jamy ustnej lub suchość w ustach powinni często nawadniać się i stosować substytuty śliny, aby zwalczyć ten efekt, który wpływa na tworzenie się próchnicy.
- Leczyć problemy, które obniżają poziom pH w jamie ustnej: Musisz zidentyfikować i leczyć choroby, takie jak bulimia, jadłowstręt psychiczny i refluks żołądkowy, ponieważ specjaliści łączą je wszystkie z ubytkami.

Postępuj zgodnie z zaleceniami dentysty
Fluor dentystyczny pomaga zapobiegać próchnicy. Warto to wykorzystać, jeśli chodzi o dbanie o zdrowie jamy ustnej! Niezależnie od tego, choć nie jest to częste, nadmierne spożywanie tego minerału może być szkodliwe, zwłaszcza gdy zęby jeszcze się formują.
Z tego powodu, jeśli chodzi o stosowanie produktów do pielęgnacji jamy ustnej i zapobiegania próchnicy, najlepiej skonsultować się z dentystą. Ten specjalista będzie w stanie ocenić konkretne warunki w jamie ustnej, Twoje nawyki oraz obecność lub brak fluoru w wodzie. Pomoże im to polecić najlepsze produkty. Wyjaśnią również, jak z nich korzystać i jak długo.
Mając to na uwadze, częste wizyty u dentysty to najlepszy sposób na ochronę jamy ustnej. Porozmawiaj z profesjonalistą o wszelkich obawach związanych z używaniem fluoru i zaufaj radom, których udzielą Ci, aby uśmiech wyglądał i był zdrowy!
Wszystkie cytowane źródła zostały gruntownie przeanalizowane przez nasz zespół w celu zapewnienia ich jakości, wiarygodności, aktualności i ważności. Bibliografia tego artykułu została uznana za wiarygodną i dokładną pod względem naukowym lub akademickim.
- Guerrero-Concepción, Alexander, and Roger Domínguez-Guerrero. “Fluorosis dental y su prevención en la atención primaria de salud.” Revista Electrónica Dr. Zoilo E. Marinello Vidaurreta 43.3 (2018).
- JUDITH, ARJONA SERRANO. “PREVENCION DE FLUOROSIS DENTAL.” (2019).
- Brandt, Lorenna Mendes Temóteo, et al. “Relationship between risk behavior for eating disorders and dental caries and dental erosion.” The Scientific World Journal 2017 (2017).
- Lovón, Whashington E., and Rildo P. Tapia. “Tratamiento manifestaciones Clínicas Bucales de la Anorexia y Bulimia.” (2019).
- Palma-Portaro, Camila, et al. “Recomendaciones basadas en la evidencia para la prevención de caries en infantes.” Revista Odontología Pediátrica 16.2 (2017): 51-64.
- González Sanz, Ángel Miguel, Blanca Aurora González Nieto, and Esther González Nieto. “Salud dental: relación entre la caries dental y el consumo de alimentos.” Nutrición hospitalaria 28 (2013): 64-71.
- Duque de Estrada Riverón, Johany, José Alberto Pérez Quiñonez, and Iliana Hidalgo-Gato Fuentes. “Caries dental y ecología bucal, aspectos importantes a considerar.” Revista cubana de estomatología 43.1 (2006): 0-0.
- Villacís Lascano, Estela Cleofé, Catalina Del Rosario Boada Zurita, and Carlos Iván Aguirre Pinos. “El flúor en la reducción del índice de caries en niños de etapa escolar.” Dilemas Contemporáneos: Educación, Política y Valores 7 (2020).
- Bustamante, Omayra Cova, et al. “ANTISÉPTICOS ORALES: CLORHEXIDINA, FLÚOR Y TRICLOSÁN.” Salud & Vida Sipanense 7.1 (2020): 4-16.
- Miñana, Vitoria. “El flúor oral para la prevención de caries,¿ cómo, cuándo ya quién?.” Form Act Pediatr Aten Prim 5.2 (2012): 108-13.
- Nieto Maya, Gregory Jesús. Efectividad del barniz de flúor en lesiones iniciales de caries en el periodo 2018-2020. BS thesis. Universidad de Guayaquil. Facultad Piloto de Odontología, 2020.
- Cabello Marquez, Juan José. “EFICACIA DEL USO TOPICO DE FLUOR PARA LA PREVENCIÓN DE CARIES DENTAL EN NIÑOS DE 6 AÑOS DEL CENTRO POBLADO SANTA ROSA DE SIRABAMBA, HUANUCO 2018.” (2019).
Ten tekst jest oferowany wyłącznie w celach informacyjnych i nie zastępuje konsultacji z profesjonalistą. W przypadku wątpliwości skonsultuj się ze swoim specjalistą.







