Naturalne usuwanie kamienia nazębnego - poznaj nasze metody

Kamień nazębny, znany również jako płytka nazębna to stwardnienie płytki na skutek osadów mineralnych.
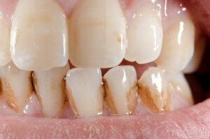
Kamień nazębny zwykle powoduje, że zęby wyglądają nieatrakcyjnie, z żółtawymi lub brązowawymi przebarwieniami. Na granicy dziąseł i zębów resztki mogą być jeszcze ciemniejsze. W rezultacie często wygląda to jak skorupa na powierzchni zęba.
Co powinieneś wiedzieć o kamieniu nazębnym?

Kamień nazębny jest szorstki w dotyku. Oprócz tego, że jest to problem estetyczny, może również prowadzić do innych problemów zdrowotnych. Kiedy kamień nazębny wchodzi w interakcję z niektórymi pokarmami (takimi jak słodycze, cola i smażone potrawy), uwalnia kwas, który może powodować ubytki.
Z drugiej strony pewne nawyki, takie jak palenie, alkoholizm i nadmierne spożywanie kawy, mogą sprzyjać pojawieniu się kamienia nazębnego. Może również występować genetyczna predyspozycja do jego powstawania.
Może Cię zainteresować: Wiele zastosowań oleju kokosowego w pielęgnacji ciała
Domowe sposoby na usuwanie kamienia nazębnego
Najlepszym lekarstwem na kamień nazębny jest profilaktyka, a właściwe nawyki higieniczne pomagają zapobiegać powstawaniu tej płytki. Specjaliści zalecają mycie zębów po każdym posiłku lub przynajmniej dwa razy dziennie. Czyszczenie nitką dentystyczną lub używanie szczoteczek międzyzębowych przynajmniej raz dziennie również pomaga zapobiegać powstawaniu kamienia nazębnego.
Oprócz utrzymania dobrych nawyków higienicznych, ważne jest, aby okresowo odwiedzać dentystę w celu dokładnego oczyszczenia. Możesz jednak również skorzystać z zalet określonych domowych środków, aby zapobiec nadmiernemu osadowi na zębach.
Soda oczyszczona a usuwanie kamienia nazębnego

Wiele osób używa sody oczyszczonej zmieszanej z cytryną lub solą, aby wzmocnić higienę jamy ustnej i zachować jasny kolor zębów, biorąc pod uwagę właściwości tych składników. Zaleca się również zmieszanie jej z odrobiną wody, ponieważ smak może być nieco intensywny.
Uważaj jednak z użyciem tego środka, ponieważ może uszkodzić szkliwo Twoich zębów.
Składniki
- 1 łyżka sody oczyszczonej (10 g)
- 1 łyżeczka soli (5 g)
- Woda (tyle ile potrzeba)
Przygotowanie
- W misce wymieszaj sodę oczyszczoną i sól.
- Następnie zanurz szczoteczkę w ciepłej wodzie.
- Teraz zanurz szczoteczkę do zębów w mieszance sody oczyszczonej i soli, aby ją namoczyć.
- Szczotkuj jak zwykle, ale staraj się skupić na obszarach, w których kamień nazębny ma tendencję do odkładania się najbardziej.
- Powtarzaj co najmniej dwa razy dziennie (rano i wieczorem), aby uzyskać wyniki.
Cytryna jako środek na naturalne usuwanie kamienia nazębnego
To kolejny z najlepszych wybielaczy do zębów. Poza tym ten owoc cytrusowy ma właściwości antybakteryjne, które przydają się w walce z kamieniem nazębnym.
Po użyciu dobrze spłucz, aby nie pozostawiała plam na skórze wokół ust następnego dnia po kontakcie ze słońcem.
Kwas w cytrynie może uszkodzić lub osłabić zęby, dlatego warto stosować ten przepis najwyżej raz w tygodniu.
Składniki
- Sok z ½ cytryny
- ½ szklanki ciepłej wody (125 ml)
Przygotowanie
- Napełnij pół szklanki ciepłą wodą. Dodaj sok z cytryny.
- Następnie wlej wodę i sok do szklanki lub filiżanki i zamieszaj.
- Płucz nim usta przed pójściem spać.
- Na koniec spłucz niewielką ilością ciepłej wody, aby nie pozostawić kwaśnego posmaku.
Woda utleniona
Ten środek może być również używany do rozjaśniania zębów i usuwania kamienia nazębnego. Możesz używać tego domowego środka do trzech razy w tygodniu, zawsze jako płukankę po rutynowym szczotkowaniu.
Składniki
- ¼ szklanki ciepłej wody (62 ml)
- Dwie łyżki wody utlenionej (20 ml)
Przygotowanie
- Wlej ciepłą wodę do szklanki i dodaj wodę utlenioną. Wymieszaj.
- Następnie weź trochę wody do ust i płucz zęby przez co najmniej 1 minutę.
- Wypluj mieszaninę i powtarzaj przez kolejną minutę.
- Wypłucz zimną wodą.
Przeczytaj: Odżywki i ćwiczenia, aby utrzymać zdrową, czystą i silną wątrobę
Usuwanie kamienia nazębnego przy użyciu ziaren sezamu

Nasiona idealnie nadają się do usuwania nagromadzonego brudu z zębów.
- Wystarczy wziąć łyżkę i przeżuwać powoli przez minutę lub dwie.
- Następnie wypluj je i masować zęby za pomocą wcześniej zwilżonej szczoteczki do zębów.
- Na koniec spłucz wodą.
Pietruszka do usuwania kamienia nazębnego

To aromatyczne zioło, którego używa się w wielu przepisach do nadania aromatu, może również pomóc w zwalczaniu kamienia nazębnego w dziąsłach. Jednym z najprostszych środków jest ten przepis:
Składniki
- garść natki pietruszki (20 g)
- 1 łyżka wody (10 ml)
Przygotowanie
- Umyj i drobno posiekaj natkę pietruszki.
- Następnie wymieszaj z wodą na pastę.
- Nałóż miksturę na zęby i pozostaw na około 5 minut.
- Spłucz dużą ilością ciepłej wody.
Usuwanie kamienia nazębnego poprzez jedzenie owoców

Wierzcie lub nie, ale niektóre owoce mogą wybielić nasze zęby i usunąć zalegający kamień nazębny. Aby ta metoda zadziałała, należy je jeść na surowo i gryźć (a nie kroić nożem).
Jabłko, melon i truskawki to trzy doskonałe alternatywy dla zdrowych dziąseł, unikania gromadzenia się pokarmu i zapobiegania krwawieniu, które pojawia się podczas szczotkowania. Należy jednak zauważyć, że jabłka należy jeść ze skórką, aby osiągnąć pożądany efekt.
Ponadto zarówno truskawki, jak i pomidory mogą być używane po prostu przez krojenie ich w plasterki i pocieranie ich bezpośrednio na zębach przed każdym posiłkiem.
Ostatnie badania pokazują, że konsekwentne, długoterminowe spożywanie owoców wiąże się ze zmniejszeniem powstawania kamienia nazębnego. Dzieje się tak dlatego, że owoce sprzyjają zakwaszeniu płytki nazębnej, zapobiegając jej gromadzeniu się.
Innym domowym sposobem walki z kamieniem nazębnym jest pocieranie zębami wnętrza skórki niektórych owoców (pomarańczy i banana) przez około 2-3 minuty przed i po jedzeniu. Więc nie wyrzucaj ich i wykorzystaj je, aby zadbać o swoje zęby!
Wszystkie cytowane źródła zostały gruntownie przeanalizowane przez nasz zespół w celu zapewnienia ich jakości, wiarygodności, aktualności i ważności. Bibliografia tego artykułu została uznana za wiarygodną i dokładną pod względem naukowym lub akademickim.
- Al‐Hashedi, A. A., Dubreuil, N., Schwinghamer, T., Dorzhiyeva, S., Anweigi, L., Emami, E., & Tamimi, F. (2022). Aragonite toothpaste for management of dental calculus: A double‐blinded randomized controlled clinical trial. Clinical and Experimental Dental Research, 8(4), 863-874. https://onlinelibrary.wiley.com/doi/abs/10.1002/cre2.559
- American Dental Association (ADA). (2021). Floss/Interdental Cleaners. https://www.ada.org/resources/ada-library/oral-health-topics/floss/
- Benahmed, A. G., Gasmi, A., Dadar, M., Arshad, M., & Bjørklund, G. (2021). The role of sugar-rich diet and salivary proteins in dental plaque formation and oral health. Journal of oral biosciences, 63(2), 134-141. https://www.sciencedirect.com/science/article/pii/S1349007921000116
- Brooks, J. K., Bashirelahi, N., & Reynolds, M. A. (2017). Charcoal and charcoal-based dentifrices: A literature review. The Journal of the American Dental Association, 148(9), 661-670. https://www.sciencedirect.com/science/article/pii/S0002817717304129
- Deus, F. P., & Ouanounou, A. (2022). Chlorhexidine in dentistry: pharmacology, uses, and adverse effects. International dental journal, 72(3), 269-277. https://www.sciencedirect.com/science/article/pii/S0020653922000259
- Duane, B., Yap, T., Neelakantan, P., Anthonappa, R., Bescos, R., McGrath, C., … & Brookes, Z. (2023). Mouthwashes: alternatives and future directions. international dental journal. https://www.sciencedirect.com/science/article/pii/S0020653923004574
- James, P., Worthington, H. V., Parnell, C., Harding, M., Lamont, T., Cheung, A., … & Riley, P. (2017). Chlorhexidine mouthrinse as an adjunctive treatment for gingival health. Cochrane Database of Systematic Reviews, (3). https://www.cochranelibrary.com/cdsr/doi/10.1002/14651858.CD008676.pub2/abstract
- Myneni, S. R. (2017). Effect of baking soda in dentifrices on plaque removal. The Journal of the American Dental Association, 148(11), S4-S9. https://www.sciencedirect.com/science/article/pii/S0002817717308097
- Pandiyan, I., Rathinavelu, P. K., Arumugham, M. I., Srisakthi, D., & Balasubramaniam, A. (2022). Efficacy of Chitosan and Chlorhexidine Mouthwash on Dental Plaque and Gingival inflammation: a systematic review. Cureus, 14(3). https://www.ncbi.nlm.nih.gov/pmc/articles/PMC9014838/
- Peedikayil, F. C., Sreenivasan, P., & Narayanan, A. (2015). Effect of coconut oil in plaque related gingivitis—A preliminary report. Nigerian Medical Journal, 56(2), 143-147. https://journals.lww.com/nimj/fulltext/2015/56020/effect_of_coconut_oil_in_plaque_related_gingivitis.12.aspx
- Polatoglu, S. (s.f.) Toothpaste: overview. International Research in Dentistry. ISBN: 978-625-6971-22-6. https://www.researchgate.net/profile/Selin-Polatoglu/publication/369594309_toothpaste/links/6423eed5a1b72772e43503f1/toothpaste.pdf
- Ren, X., He, J., Cheng, R., Chen, Y., Xiang, Y., Zhang, Y., … & Hu, T. (2023). The efficacy and safety of oral irrigator on the control of dental plaque and gingivitis: a randomized, single-blind, parallel-group clinical trial. International Journal of Environmental Research and Public Health, 20(4), 3726. https://www.mdpi.com/1660-4601/20/4/3726
- Ruiz, M. A., de Souza Miola, L., Hori, G. M. R., & Catelan, A. (2021). Whitening effect of brushing with activated charcoal-based products on enamel: Integrative review. Research, Society and Development, 10(15), e259101522809-e259101522809. https://rsdjournal.org/index.php/rsd/article/view/22809
- Van der Weijden, F. A., & Slot, D. E. (2015). Efficacy of homecare regimens for mechanical plaque removal in managing gingivitis a meta review. Journal of clinical periodontology, 42, S77-S91. https://onlinelibrary.wiley.com/doi/abs/10.1111/jcpe.12359
- Zotarelli Filho, I. J. (2016). Influence of smok factors. International Journal of Current Research, 8(0). https://scholar.googleusercontent.com/scholar?q=cache:oF956BduwB0J:scholar.google.com/+INFLUENCE+OF+SMOKING+IN+CLINICAL+PRESEWITH+OTHER+CARDI1&hl=es&as_sdt=0,5&as_ylo=2016&as_yhi=2024
Ten tekst jest oferowany wyłącznie w celach informacyjnych i nie zastępuje konsultacji z profesjonalistą. W przypadku wątpliwości skonsultuj się ze swoim specjalistą.







