Gruczolak przysadki – dowiedz się więcej na jego temat


Przejrzane i zatwierdzone przez: lekarz Diego Pereira
Gruczolak przysadki mózgowej jest wolno rosnącym nowotworem o łagodnym charakterze. Powstaje ze zmutowanych komórek, które składają się na przysadkę mózgową. Jest to gruczoł, który reguluje funkcjonowania wielu innych narządów w ludzkim ciele, co czyni go naprawdę ważnym.
Jednak gruczolak przysadki mózgowej jest stosunkowo powszechnie spotykany u ludzi. Występuje bowiem średnio u 1 na 1000 dorosłych osób. Nie ma przy tym rozróżnienia pod względem płci, ponieważ w równym stopniu statystyki te dotyczą mężczyzn i kobiet. Częstość występowania tego nowotworu zwiększa się znacząco między 30 a 40 rokiem życia.
Ogólnie rzecz biorąc, jest to łagodny i wolno rosnący guz. Tak więc rak przysadki lub nowotwory złośliwe tego gruczołu są bardzo rzadko spotykanym przypadkiem. Ale nadal nie znamy jeszcze faktycznych przyczyn występowania tego guza.
Jednak w niektórych przypadkach jest on bezpośrednio związany z chorobą genetyczną o nazwie „mnoga gruczolakowatość wewnątrzwydzielnicza”.
Gruczolak przysadki mózgowej i jego najbardziej typowe objawy
Gruczolak przysadki mózgowej jest stosunkowo częstym zjawiskiem. Występuje on u średnio 1 na 1000 dorosłych. Ogólnie rzecz biorąc jest to łagodny i wolno rosnący guz.
Głównym objawem wynikającym z obecności tego rodzaju nowotworów jest zmiana w procesach wydzielania hormonów.
W zależności od częstości występowania guzów przysadka mózgowa może wpływać na wytwarzanie zbyt dużych ilości jednego lub większej liczby hormonów. Z powodu tego typu zaburzeń w gospodarce hormonalnej organizmu mogą wystąpić następujące objawy:
- Nadczynność tarczycy. Tarczyca w takim przypadku wytwarza nadmierne ilości hormonów. Warto jednak pamiętać o tym, że ten objaw jest dość rzadko spotykany u osób dotkniętych gruczolakiem przysadki.
- Zespół Cushinga. W takim przypadku poziom kortyzolu jest zauważalnie wyższy niż to ma miejsce w normalnych warunkach.
- Akromegalia. Dzieci z wysokim poziomem hormonu wzrostu mogą cierpieć na gigantyzm. Jeśli zdarzy się to u osoby dorosłej, może u niej wystąpić także akromegalia.
- Wydzielanie i produkcja mleka zarówno u kobiet, jak i u mężczyzn.
- Nieregularne miesiączki u kobiet z powodu zmiany hormonów płciowych.
Natomiast niektóre specyficzne objawy występują wtedy, gdy dochodzi do ucisku struktur mózgu z powodu wielkości guza przysadki mózgowej. Mogą one obejmować między innymi:
- Zaburzenia widzenia, takie jak podwójne widzenie, utrata pola widzenia, opadające powieki lub zmiany sposobu widzenia kolorów.
- Uporczywe bóle głowy.
- Zmęczenie i senność.
- Nieustanny wyciek przezroczystego śluzu z nosa („katar sienny” o podłożu niealergicznym).
- Nudności i wymioty.
- Problemy z węchem.
Objawy te mogą i powinny wzbudzić Twoje obawy, jeśli pojawią się nagle. Szczególnie jeśli jednocześnie dostrzeżesz więcej niż jeden z nich. Mogą również prowadzić do stanu określanego potocznie jako zawał przysadki. Jeśli zatem zauważysz u siebie którykolwiek z tych objawów, koniecznie skontaktuj się z lekarzem.
Zobacz także: Zdrowa tarczyca – wypróbuj to domowe remedium
Gruczolak przysadki mózgowej i jego najbardziej typowe odmiany
Gruczolak przysadki mózgowej występuje w dwóch typach, których klasyfikacja opiera się na podstawie rozmiarów guza. Wspomniane typy to:
- Mikrogruczolaki: są one mniejsze niż 10 mm.
- Makrogruczolaki: są to guzy o średnicy większej niż 10 mm. Ten typ gruczolaka często prowadzi do powstania dużego deficytu jednego lub większej liczby hormonów, których wydzielanie sterowane jest przez przysadkę mózgową.
Guzy te można również klasyfikować według tego, czy powodują one wydzielanie hormonów, czy też nie. Zgodnie z tymi kryteriami mogą one być guzami prolaktynowymi, somatotropinowymi, kortykotropinowymi, tyreotropinowymi lub alfomami, jeśli same wydzielają hormony.
Z drugiej strony są też gruczolaki nieczynne hormonalnie, jeśli nie wydzielają hormonów.
Metody diagnozowania guza
Jeśli chodzi o diagnozę, to lekarz musi przeprowadzić badanie fizykalne, aby sprawdzić, czy występują u pacjenta problemy z podwójnym widzeniem i polem widzenia. Ponadto technicy laboratoryjni badają utratę widzenia bocznego lub peryferyjnego i zdolność widzenia w niektórych obszarach.
Następnie lekarze przeprowadzają analizę gospodarki hormonalnej organizmu pacjenta w celu wykrycia jakichkolwiek oznak nadmiaru hormonów lub innych nieprawidłowości. W ten sposób mogą zmierzyć i wykryć parametry takie jak podwyższony poziom kortyzolu, zespół Cushinga lub zbyt wysoki poziom hormonu wzrostu.
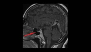
Najbardziej odpowiednie badania, które pomagają potwierdzić wstępną diagnozę, to analiza pola widzenia pacjenta, tomografia komputerowa i obrazowanie mózgu metodą rezonansu magnetycznego (MRI).
Przeczytaj również: Stwardnienie rozsiane – co warto wiedzieć?
Gruczolak przysadki mózgowej i metody jego leczenia
Ogólnie rzecz biorąc obecne opcje terapeutyczne w przypadku gruczolaka przysadki mózgowej obejmują następujące metody leczenia:
- Leczenie farmakologiczne i zastępowanie hormonów. Odpowiednie leki blokujące wydzielanie hormonów mogą kontrolować objawy choroby, a nawet zmniejszać wielkość guza.
- Techniki z zakresu radioterapii. Są one często stosowane w celu zmniejszenia wielkości guza.
- Operacja gruczolaka przysadki. Guzy te zwykle usuwa się przez jamę nosową. Jednak w innych przypadkach lekarze mogą wybrać przeprowadzenie zabiegu kraniotomii lub nawet otwarcia czaszki.
- Endoskopowa operacja nosa. Zabieg ten polega na wprowadzeniu endoskopu przez nozdrza i wsuwaniu go między środkową małżowinę a przegrodę nosową, aż lekarz zlokalizuje otwór zatoki klinowej. Otwór ten powiększa się następnie tak, aby uzyskać wystarczające otwarcie zatoki klinowej i aby móc zwizualizować spodnią część siodła tureckiego w celu skutecznego usunięcia guza.
Utrata wzroku jest najpoważniejszym powikłaniem takiego zabiegu, jeśli nastąpi poważne uszkodzenie nerwu wzrokowego.
Ponadto guz lub jego wycięcie może spowodować zaburzenia gospodarki hormonalnej na całe dalsze życie pacjenta i doprowadzić do moczówki prostej (poliurii). Charakterystycznymi objawami tego typu choroby są bardzo częste oddawanie moczu i ekstremalne wręcz pragnienie.
W każdym razie ważne jest, aby jak najwcześniej szukać leczenia, jeśli zauważysz u siebie którykolwiek z opisanych w naszym artykule objawów.
Wszystkie cytowane źródła zostały gruntownie przeanalizowane przez nasz zespół w celu zapewnienia ich jakości, wiarygodności, aktualności i ważności. Bibliografia tego artykułu została uznana za wiarygodną i dokładną pod względem naukowym lub akademickim.
-
Jaime, M. de, López, F., & Cabrera, G. (2003). Patología de los adenomas hipofisarios. Patología.
-
Betanzos, R. R., Gerardo, E., Pérez, D., Apolonia, S., Montaño, A., Sánchez, V., … Mendoza, C. (2009). Artículo de revisión Acromegalia. Mcm.
-
CARNEIRO, C. C., MENDES, B. B., & BASTOS, L. G. (2015). ADENOMA HIPOFISÁRIO: CORRELAÇÃO CLÍNICA, LABORATORIAL E RADIOLÓGICA. REVISTA DA UNIVERSIDADE VALE DO RIO VERDE. https://doi.org/10.5892/ruvrd.v13i1.1979
Ten tekst jest oferowany wyłącznie w celach informacyjnych i nie zastępuje konsultacji z profesjonalistą. W przypadku wątpliwości skonsultuj się ze swoim specjalistą.







