Opadanie powieki - charakterystyka problemu i możliwe konsekwencje


Przejrzane i zatwierdzone przez: pielęgniarka Leidy Mora Molina
Opadanie powieki to często spotykany problem. Dlaczego się pojawia i na czym polega? Powieki to ruchome struktury, które zakrywają gałki oczne. Pomagają chronić spojówkę i rogówkę. Mogą stracić mobilność lub opaść w nienaturalny sposób, co negatywnie wpływa na wzrok.
Opadanie powieki lub opadająca powieka to stan, w którym jedna lub obie górne powieki opadają. Może się to przydarzyć osobom obu płci i osobom w każdym wieku. Jednak najczęściej występuje u osób starszych. Ponadto stan może być łagodny i ledwo zauważalny lub ciężki z blokadą wzroku.
Zwykle pojawia się, gdy mięśnie powiek zaczynają słabnąć. Ponadto może to być wynikiem uszkodzenia dróg nerwowych lub utraty elastyczności skóry, która tworzy fałd powiekowy. Chociaż nie można zapobiec temu schorzeniu, wczesne leczenie medyczne i chirurgiczne tego schorzenia może pomóc w uniknięciu powikłań.
Opadanie powieki – przyczyny i czynniki ryzyka
Opadanie powieki może powodować kilka stanów. Badania pokazują, że jego pochodzenie może być wrodzone lub nabyte. Najczęstszą przyczyną jest starzenie się.
Ponadto opadająca powieka może być skutkiem:
- Rozcięgna: występuje przy ciągłym rozciąganiu i osłabianiu mięśnia powieki. Jest to jedna z najczęstszych przyczyn opadania powieki i wiąże się z podeszłym wiekiem, długotrwałym używaniem sztywnych soczewek kontaktowych i nawracającym otarciem oka.
- Neurogenny: jest to wynik uszkodzenia dróg nerwowych, które kontrolują ruch powiek. Stan ten występuje na poziomie trzeciego nerwu czaszkowego lub nerwu okoruchowego wspólnego. Ponadto jest to częsty stan zespołu Hornera, miastenii i porażenia twarzy.
- Miogeniczny: jest to związane ze stanami ogólnoustrojowymi, które sprzyjają postępującej dystrofii mięśniowej i osłabieniu. Z tego powodu mięsień powiek nie może właściwie wykonywać swoich funkcji.
- Mechaniczny: jest to wynik zwiększenia objętości na poziomie powieki z guza, torbieli lub guza.
- Traumatyczny: rozwija się w wyniku urazu zewnętrznego na poziomie gałki ocznej. Uraz może bezpośrednio wpływać na mięśnie, ścieżki nerwowe, powięź lub ich kombinację.
U noworodków opadająca powieka może być wynikiem wady wrodzonej lub wewnątrzmacicznego zaburzenia rozwojowego. W takich przypadkach ważne jest, aby działać szybko, aby uniknąć długotrwałych powikłań, takich jak leniwe oko lub niedowidzenie.

Na kogo może to wpłynąć?
Ogólnie rzecz biorąc, opadanie powiek dotyka w równym stopniu mężczyzn, jak i kobiety. Może również wystąpić w dowolnym momencie życia. Jednak częściej występuje u osób starszych.
Podobnie ten stan jest powiązany z następującymi warunkami:
- Jęczmień.
- Guz powieki.
- Wcześniejsza korekcyjna operacja oka.
- Cukrzyca.
- Dystrofia mięśniowa.
- Choroba naczyń mózgowych.
- Porażenie Bella.
Przeczytaj również: Stymulacja wzroku dziecka — dlaczego jest tak ważna?
Opadanie powieki – objawy i konsekwencje
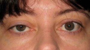
Najbardziej oczywistym objawem klinicznym opadanie powieki jest opadanie powieki górnej. W rezultacie może częściowo lub całkowicie zakrywać oko. Stopień jego zejścia będzie się różnić od łagodnego do ciężkiego i może dotyczyć jednego lub obu oczu.
Niektóre badania pokazują, że jednostronna opadająca powieka jest najczęstsza i jest szczególnie powszechna w lewym oku. Ponadto powszechne są następujące objawy:
- Uczucie ciężaru lub nacisku na gałkę oczną.
- Ciągłe łzawienie.
- Suche oczy.
- Zmniejsz widzenie.
- Powtarzające się przechylanie głowy, aby widzieć lepiej.
Czasami objaw opadającej powieki mylony jest z dermatochalazą. Jest to zaburzenie tkanki łącznej, w którym występują nadmierne fałdy skórne na górnej powiece.
Możliwe konsekwencje
Głównym powikłaniem opadanie powieki jest utrata wzroku w jednym lub obu oczach. U dorosłych może utrudniać im widzenie i wpływać na ich zdolność do wykonywania codziennych czynności.
Z drugiej strony niedowidzenie jest zaburzeniem dojrzewania wzrokowego, które zwykle dotyka dzieci w wieku szkolnym. W tym stanie światło nie może przeniknąć przez źrenicę. Ponadto badania sugerują, że inne oporne na leczenie stany, takie jak zez i astygmatyzm, przyczyniają się do niedowidzenia spowodowanego opadaniem powieki.
Kiedy szukać pomocy medycznej
Ogólnie rzecz biorąc, opadająca powieka bez widocznej przyczyny zewnętrznej jest zwykle oznaką jakiegoś schorzenia. Z tego powodu ważne jest, aby jak najszybciej zwrócić się o pomoc medyczną. Jeśli tego nie zrobisz, opadająca powieka może powodować dyskomfort w oku i ciągłe łzawienie. Ponadto zmniejszona zdolność widzenia jest często niepokojącym objawem, który wymaga natychmiastowej uwagi.
Powinieneś również natychmiast skontaktować się z pracownikiem służby zdrowia, jeśli opadanie powiek zaczyna się po urazie. Ogólnie rzecz biorąc, zdarzenia traumatyczne mają tendencję do narażania bardzo delikatnych struktur nerwowych i są związane z uszkodzeniem innych tkanek.
Testy diagnostyczne
Okulista to specjalista zajmujący się urazami lub chorobami oczu. Lekarz powinien przeprowadzić badanie fizykalne i zapytać o historię choroby pacjenta. Pomoże im to zidentyfikować bezpośrednią przyczynę opadającej powieki. Badanie neurologiczne nerwów czaszkowych i ocena układu kostno-stawowego są niezbędne, aby potwierdzić lub wykluczyć uszkodzenia nerwów lub zaburzenia pracy mięśni.
Można również wykonać badanie dna oka. Ten test wykaże wszelkie zmiany na poziomie nerwu wzrokowego i miąższu siatkówki. Ponadto specjalista może zlecić wykonanie badań krwi i badań obrazowych, ponieważ oferują one szerszy profil schorzenia. W tych testach rezonans magnetyczny i tomografia komputerowa pomagają profesjonalistom zidentyfikować zdarzenia naczyniowo-mózgowe i guzy mózgu.
Kolejnym przydatnym narzędziem do diagnozowania opadanie powiek jest test Tensilona. Polega na pozajelitowym podaniu edrophonium, leku poprawiającego skurcze mięśni poprzez hamowanie enzymu acetylocholinesterazy. Twój lekarz zbada, czy lek poprawia opadającą powiekę i osłabienie mięśni.
Zabiegi na opadanie powieki
Leczenie opadającej powieki zależy od stanu podstawowego i jego ciężkości. Niektóre przypadki mogą wymagać konwencjonalnych metod lub zabiegów chirurgicznych, aby rozwiązać problem. Większość pacjentów wymaga operacji.
Nieoperacyjny
Obecnie kule ptosis to jedna z najskuteczniejszych nieinwazyjnych metod leczenia opadających powiek. Zwykle są dodawane do okularów pacjenta i działają na rzecz podtrzymania powieki i zwiększenia pola widzenia. Również twój okulista będzie musiał je dostosować.
Ponadto specjalista może przepisać witaminę B12 osobom z zaburzeniami nerwowo-mięśniowymi. Witamina ta wspomaga regenerację nerwów i może poprawić nabyte przypadki neurogennej opadanie powieki.
Zobacz też: W jaki sposób cukrzyca wpływa na wzrok?
Chirurgiczny
Jeśli masz do czynienia z zaawansowanymi stadiami opadanie powieki lub jeśli doświadczasz utraty wzroku, będziesz musiał przejść operację. Zabieg polega na naprawie i podniesieniu chorej powieki do optymalnej pozycji. W ten sposób profesjonalista może szybko poprawić estetykę i zdolności widzenia pacjenta.
Ponadto specjalista może zalecić operację dzieci z wrodzoną opadanie powiek jako profilaktykę niedowidzenia. Jednak ta procedura może prowadzić do działań niepożądanych, takich jak asymetryczne powieki, unieruchomienie powiek i suchość oczu.

Styl życia z opadaniem powiek lub opadającymi powiekami
Ogólnie rzecz biorąc, opadanie powieki nie wpływa na ogólny stan zdrowia pacjenta. To głównie problem kosmetyczny. Jednak szybki postęp tego stanu bez leczenia może pogorszyć wzrok pacjenta. W takich przypadkach rokowanie zależy od przyczyny i jej nasilenia.
Operacja korekcyjna zazwyczaj daje zadowalające efekty u większości pacjentów. Należy zauważyć, że ta procedura nie jest zalecana dla osób starszych ze względu na związane z nią komplikacje. Istnieją również inne rodzaje tradycyjnych metod, które mogą złagodzić objawy, takie jak akupunktura i ćwiczenia wzmacniające oczy.
Wnioski
Opadająca powieka zwykle rozwija się stopniowo, z niewielkimi zauważalnymi zmianami w błonie śluzowej oka i zdolności widzenia. Z tego powodu może pozostać niezauważony, zwłaszcza u osób starszych. Jednak opadanie powieki może również wystąpić w wyniku urazu neurologicznego lub udaru.
Dlatego należy natychmiast zwrócić się o pomoc specjalisty, jeśli stan ten obejmuje utratę siły w kończynach, drgawki, zniekształcenie mimiki twarzy i zaburzenia mowy. Wczesne zwrócenie uwagi na ten problem może mieć duże znaczenie.
Wszystkie cytowane źródła zostały gruntownie przeanalizowane przez nasz zespół w celu zapewnienia ich jakości, wiarygodności, aktualności i ważności. Bibliografia tego artykułu została uznana za wiarygodną i dokładną pod względem naukowym lub akademickim.
- Novo Torres A, Salvador Sanz J, Lorda Barraguer E, Laredo Ortiz C. Corrección de ptosis palpebral por la incisión de blefaroplastia. Cir. plást. iberolatinoam. 2006; 32( 3 ): 179-184.
- Negrin-Cáceres Y, Cabrera-Romero A, Cárdenas-Monzón L, Figueroa-Padilla M. Comportamiento clínico-quirúrgico de la ptosis palpebral en la consulta de Cirugía Plástica Ocular. Medicentro Electrónica. 2016; 20( 1 ): 18-26.
- Pérez-Íñigo M, González I, Mayoral F, Ferrer C, Honrubia F.M. Estudio comparativo de los defectos de refracción en niños con ptosis miogénica congénita simple y niños control. Arch Soc Esp Oftalmol. 2008; 83( 10 ): 601-606.
- Finsterer J. Ptosis: causes, presentation, and management. Aesthetic Plast Surg. 2003;27(3):193-204.
- SooHoo JR, Davies BW, Allard FD, Durairaj VD. Congenital ptosis. Surv Ophthalmol. 2014;59(5):483-92.
- Ng J, Hauck MJ. Ptosis repair. Facial Plast Surg. 2013;29(1):22-5.
- Vidal Pérez, Teresa, et al. “Efectividad de la digitopuntura y electromagnetopuntura en pacientes con ptosis palpebral congénita.” Medisan 15.10 (2011): 1384-1391.
- Novo Torres A, Salvador Sanz J, Lorda Barraguer E, Laredo Ortiz C. Corrección de ptosis palpebral por la incisión de blefaroplastia. Cir. plást. iberolatinoam. 2006; 32( 3 ): 179-184.
- Becerra EM, Blanco G, Muiños Y, Bianciotto C. Tratamiento quirúrgico de ptosis palpebral miogénica adquirida. Arch Soc Esp Oftalmol. 2005; 80( 6 ): 359-364.
Ten tekst jest oferowany wyłącznie w celach informacyjnych i nie zastępuje konsultacji z profesjonalistą. W przypadku wątpliwości skonsultuj się ze swoim specjalistą.







