Płytka nazębna — jak z nią walczyć?

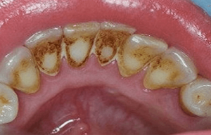
Płytka nazębna nazywana również płytką bakteryjną to miękka, bezbarwna warstwa ściśle oblegająca zęby. Głównie budują ją resztki pokarmowe, ale i substancje znajdujące się w ślinie, złuszczone komórki nabłonka, a na późniejszym etapie staje się siedliskiem bakterii niepróchniczych, jak i tych, które próchnicę powodują.
Płytka nazębna daję się łatwo usunąć w mechaniczny sposób (mycie zębów, nić dentystyczna), jednak po pewnym czasie, jeżeli nie zostanie to zrobione zachodzi proces mineralizacji i twardnieje ona, tworząc kamień nazębny. Ten z kolei oprócz nieprzyjemnego zapachu z ust powoduje krwawienie dziąseł.
Jeszcze nieznany jest skuteczny sposób, który raz na zawsze pozwoliłby zakończyć z płytką nazębną, ale istnieje kilk domowych metod, które pomogą w walce z nim. Dzięki trikom, które dziś poznasz, zminimalizujesz nagromadzenie płytki nazębnej i zadbasz o zdrowie Twojej jamy ustnej!
Kluczem jest odpowiednie szczotkowanie zębów. Większość będzie musiała zmienić swoją technikę. Prawie wszyscy szczotkujemy zęby poziomo od lewej strony do prawej, jednak niewielu wie, że w ten sposób tylko zwiększamy ich wrażliwość i pogarszamy ewentualne wady zgryzu.
Szczotkowanie zębów powinno się zaczynać od górnej szczęki ruchem pionowym, następnie przechodząc do jej dolnej części. Zęby, które są z tyłu, myjemy okrężnymi ruchami i zawsze po zakończeniu należy zastosować nić dentystyczną w celu usunięcia pozostałości z ciężko dostępnych miejsc.
Na zakończenie najlepiej przepłukać również jamę ustną płynem nie zapominając również o szczoteczce, na której pozostają resztki zabrudzeń.
Uwaga: Zmieniaj szczoteczkę do zębów przynajmniej cztery razy do roku.
Płytka nazębna — jak zapobiec jej powstawaniu?
Zadbaj o swoją dietę
Zrównoważona dieta jest bardzo ważna w momencie utrzymania zdrowia jamy ustnej. Należy unikać cukru i pokarmów o wysokiej zawartości węglowodanów. Również zaleca się rezygnację z napojów gazowanych i o ciemnym kolorze.
Jeżeli już je spożywasz lepiej robić to przez słomkę, aby zęby nie miały bezpośredniego kontaktu z produktem. Rekomenduje się także unikanie produktów wyprodukowanych z mąki, a po ich spożyciu należy dokładnie umyć zęby.
W ten sposób unikniemy infekcji bakteryjnych i zmniejszymy prawdopodobieństwo tego, że płytka nazębna będzie się odkładać.
Jak poprawić zdrowie jamy ustnej?
Istnieje kilka prostych sposobów, które zminimalizują to, że płytka nazębna będzie się gromadzić i uchronią przed występowaniem innych chorób jamy ustnej. Należy pamiętać, że wszystkie z niżej wymienionych środków należy stosować z umiarem, aby nie naruszyć zdrowia zębów.
Oto produkty, które pomogą zadbać o zdrowie Twojej jamy ustnej:
Guma do żucia

Dla niektórych może się to wydać kontrowersyjne, ale ostatnie badania wykazały, że żucie gumy bez dodatku cukru powoduje, że płytka nazębna odkłada się w mniejszym stopniu. Zaleca się żucie jej po każdym posiłku. W ten sposób zęby częściowo zostaną oczyszczone z resztek pokarmowych, a następnie należy je dokładnie wyszczotkować.
Wodorowęglan sodu

Gdy udajemy się umyć zęby, należy odrobinę wodorowęglanu sodu dodać do pasty do zębów (niewielką ilość). Substancja ta z powodzeniem przyczyni się do rozpuszczenia wszelkich pozostałości pokarmowych, a dodatkowo wybieli zęby. Możesz stosować ją raz w tygodniu, pamiętając o tym, że ilości wodorowęglanu powinny być niewielkie, jak i zabieg nie powinien być powtarzany zbyt często.
Cytryna

Sok z cytryny jest świetnym sposobem na to, aby płytka nazębna została usunięta. Kwaśny sok ma właściwości czyszczące i ścierające, dzięki czemu jama ustna zostaje dokładnie odświeżona.
Ponadto również wspomoże wybielanie, walkę z nieprzyjemnym zapachem z ust. Wystarczy zastosować go raz w tygodniu, aby płytka nazębna się nie odkładała, pamiętając również, aby nie przesadzać z jego używaniem, gdyż może to doprowadzić do niepożądanych skutków.
Pamiętaj!
Ilość domowych środków, które mogą nam pomów w ochronie naszej jamy ustnej, jest ograniczona. Zawsze zaprogramuj swoje wizyty u stomatologa przynajmniej raz na sześć miesięcy i zapewnij swojej buzi to, co najlepsze, czyli profesjonalne, dokładne oczyszczanie, które uchroni Cię przed wieloma nieprzyjemnymi dolegliwościami i spowoduje, że płytka nazębna przestanie być Twoim koszmarem.
Ten tekst jest oferowany wyłącznie w celach informacyjnych i nie zastępuje konsultacji z profesjonalistą. W przypadku wątpliwości skonsultuj się ze swoim specjalistą.







