Fluor dentystyczny - jak pomaga na próchnicę


Napisane i zweryfikowane przez dentysta Vanesa Evangelina Buffa
Od dawna wiadomo, że fluor pomaga zapobiegać próchnicy. Oprócz szczotkowania i kontroli diety, stosowanie tego pierwiastka jest jednym z głównych elementów ochrony zębów przed tą chorobą.
Ale czy wiesz, jak stosować fluor? Jak i kiedy z niego korzystać? A co, jeśli jego użycie może być w niektórych przypadkach szkodliwe? Odpowiedzi na te pytania są ważne. Dlatego powiemy Ci o tym więcej w poniższym artykule.
Co to jest fluor stomatologiczny?
Fluor to naturalny minerał, który występuje na powierzchni ziemi, w osadach wodnych oraz w niektórych produktach spożywczych. Można go znaleźć w produktach zwierzęcych, takich jak łosoś, sardynki i wątroba; lub warzywnych, takich jak herbata, pomidor, ziemniak i szpinak.
Oprócz włączania go z naturalnych źródeł, minerał ten dodaje się też do różnych produktów jako suplement. Ponieważ wykazano, że fluor pomaga zapobiegać próchnicy zębów, niektóre społeczności używają go w wodzie z kranu, aby zmniejszyć wpływ tej choroby. W ten sposób woda jest fluoryzowana, podobnie jak sole i mleko.
Ponadto można go znaleźć między innymi w produktach do pielęgnacji zębów, takich jak pasty do zębów, płukanki i nici dentystyczne. Znajduje się również w materiałach, których dentyści używają w swoich gabinetach do zapobiegania chorobom i ich leczenia.
Organizm ludzki posiada mechanizmy metaboliczne, które regulują i kontrolują wchłanianie, wykorzystanie i wydalanie tego pierwiastka. Większość fluoru jest zatrzymywana w kościach i zębach; i minimalna część w tkankach miękkich. Nadmiar usuwany jest z moczem oraz w mniejszym stopniu z potem i kałem.

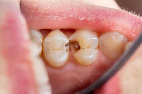
Czym jest próchnica?
Ubytki związane z próchnicą dotykają zarówno dzieci, jak i dorosłych. W szczególności jest to choroba zakaźna, która dotyka minerały na powierzchni zębów. Mikroorganizmy w jamie ustnej metabolizują cukry obecne w diecie i wytwarzają kwasy zdolne do atakowania nieorganicznego składnika zębów.
W efekcie tkanki twarde ulegają demineralizacji. W miarę postępu zęby tracą swoją strukturę. Kiedy zaczyna się proces próchnicowy, możesz zobaczyć nieprzezroczystą białą plamę, która staje się ciemniejsza w miarę postępu zmiany.
Jeśli nie jest leczona, a demineralizacja trwa, w zębach pojawiają się ubytki lub luki, które stają się głębsze i większe. Później powierzchnia zębów staje się miękka, a uszkodzenie może wpływać na obszar miazgi. Powoduje to pojawienie się bolesnych objawów lub procesów zakaźnych.
To może Cię zainteresować: Zdrowe zęby – 5 nawyków, które pomogą Ci o nie zadbać
W jaki sposób fluor może pomóc w zapobieganiu próchnicy?
Fluor pomaga zapobiegać próchnicy dzięki dwóm głównym mechanizmom działania:
- Z jednej strony pierwiastek łączy się chemicznie z kryształami szkliwa, przekształcając hydroksyapatyt w fluoroapatyt, który jest bardziej odporny na odwapnienie. Ta reakcja nie jest ani ostateczna, ani stabilna, dlatego ważna jest częsta ekspozycja na minerał.
- Z drugiej strony obecność pierwiastka w środowisku jamy ustnej ogranicza metabolizm bakterii płytki nazębnej. Zmniejsza to produkcję kwasów odpowiedzialnych za demineralizację zębów. Dodatkowo hamuje przyleganie drobnoustrojów do siebie, co utrudnia agregację i akumulację tej szkodliwej warstwy.
Wprowadzanie fluoru do organizmu może odbywać się dwoma głównymi drogami. Jedna jest systemowa, w którym minerał dostaje się poprzez spożycie fluoryzowanej wody, pokarmu lub suplementów, które go zawierają. Jest rozprowadzany po całym ciele przez krwioobieg i osadza się na formujących się strukturach zębowych.
Działanie fluoru w ten sposób jest ważne, gdy zęby rozwijają się u niemowląt i małych dzieci. Dzieje się tak, ponieważ łączy się z kryształami szkliwa i powoduje, że tkanka jest znacznie bardziej odporna na ubytki.
Druga droga to droga lokalna, kiedy minerał umieszcza się na powierzchni zębów, gdy zęby już wyrosły i znajdują się w jamie ustnej. Fluor dostaje się tam przez pasty do zębów, płukanki lub nici dentystyczne, które go zawierają. Również w lakierach lub żelach, które stomatolog aplikuje na zębach w gabinecie.
Należy zauważyć, że fluor ma również działanie terapeutyczne we wczesnych stadiach choroby, ponieważ jest zdolny do remineralizacji szkliwa, gdy jakieś minerały zostały już utracone.
Niebezpieczeństwa związane z nadmiernym używaniem fluoru dentystycznego
Zbyt duża ilość fluoru może jednak szkodzić. Jego wpływ na zęby zależy w dużej mierze od jego stężenia. Tak więc, jeśli stosujemy do w małych ilościach, jego działanie przynosi korzyści. Wręcz przeciwnie, jeśli ilość jest nadmierna, powstają pewne skutki wtórne, takie jak uszkodzenie zębów.
Fluoroza to zmiana, która występuje z powodu nadmiernej ekspozycji na ten pierwiastek podczas tworzenia zębów. W tym stanie zęby ulegają przebarwieniom, z białymi lub brązowymi liniami. Emalia jest uszkodzona i w najcięższych przypadkach może ulec wgłębieniu lub deformacji.
Na ogół, lokalne społeczności mają tendencję do fluoryzowania wody pitnej w celu zmniejszenia częstości występowania próchnicy w populacji poprzez stosowanie bezpiecznych stężeń. W takich przypadkach włączenie ogólnoustrojowego fluoru poprzez suplementy nie jest konieczne.
Optymalne stężenie tego minerału w wodzie pitnej wynosi od 0,7 do 1,2 miligrama na litr (mg/L). Przy tych wartościach i stosowaniu zwykłych past do zębów fluoryzowanych – które podnoszą poziom minerału od 1000 do 1200 części na milion (ppm) – to wystarczy, by chronić usta przed chorobą bez podejmowania ryzyka.
Jeśli wody pitne nie zawierają fluoru, dentysta może zasugerować przyjmowanie suplementów z tym minerałem, szczególnie w okresie dzieciństwa, kiedy tworzą się zęby. Ilość i sposób użycia określi lekarz, adekwatnie do wieku dziecka i ryzyka ubytków, które ono przedstawia.
Dodatkowo, jeśli dentysta uzna to za konieczne, może również zalecić stosowanie past do zębów z wyższą zawartością fluoru lub płynów do płukania jamy ustnej zawierających ten minerał.
Przeczytaj także: Czym są zatrzymane zęby mądrości i jak się je leczy?
Inne wskazówki, jak unikać ubytków
Chociaż fluor pomaga zapobiegać próchnicy, nie jest to jedyny czynnik, który należy brać pod uwagę dbając o zdrowie jamy ustnej. Poniżej wymieniono inne praktyki, które pomagają zapobiegać wystąpieniu tej choroby.
- Szczotkowanie zębów: czyszczenie wszystkich powierzchni wszystkich zębów jest niezbędne do usunięcia płytki bakteryjnej, która powoduje chorobę. Należy to robić co najmniej dwa razy dziennie miękką szczoteczką z włosia i fluoryzowaną pastą do zębów.
- Nić dentystyczna: konieczna, jako uzupełnienie higieny jamy ustnej i dotarcie do obszarów między zębami, których szczoteczka nie może wyczyścić. Powinno się ją stosować przynajmniej raz dziennie. Czyszczenie tych trudno dostępnych miejsc można również wykonać za pomocą szczoteczek międzyzębowych i irygatorów.
- Zbilansowana dieta: prawidłowe odżywianie i ograniczenie spożycia cukrów prostych, ultra przetworzonych oraz napojów bezalkoholowych pomaga zapobiegać próchnicy.
- Żucie gumy bez cukru: ta praktyka sprzyja samooczyszczaniu się ze względu na wytwarzanie śliny, która powstaje podczas żucia. Ponadto zwykle gumy zawierają substytuty cukru, takie jak ksylitol, który pomaga zapobiegać próchnicy.
- Częste wizyty u dentysty: regularne przeglądy stomatologiczne pozwalają na wczesne wykrycie i leczenie wszelkich problemów. Profesjonalne czyszczenie i fluoryzacja w gabinecie to dodatkowe wzmocnienie, które chroni zęby.
- Lakowanie bruzd i szczelin: wykonuje je dentysta, umieszczając specjalny materiał na powierzchniach retencyjnych zębów. W ten sposób łatwiej je zdezynfekować i zapobiega to gromadzeniu się bakterii w miejscach trudnych do czyszczenia.
- Wyeliminowanie suchości w ustach: Pacjenci cierpiący na suchość jamy ustnej lub suchość w ustach powinni często nawadniać się i stosować substytuty śliny, aby przeciwdziałać temu efektowi, który sprzyja próchnicy.
- Leczenie chorób, które obniżają pH jamy ustnej: choroby takie jak bulimia, jadłowstręt psychiczny i refluks żołądkowo-przełykowy przyczyniają się do powstawania próchnicy. Należy je zidentyfikować i leczyć.

Postępuj zgodnie z zaleceniami dentysty
Fluor dentystyczny pomaga zapobiegać próchnicy, dlatego tę zaletę należy wykorzystać do dbania o zdrowie jamy ustnej. Z drugiej jednak strony, choć nie występuje to tak często, nadmierne spożycie tego minerału, zwłaszcza w okresie formowania się zębów, może być szkodliwe.
Dlatego idealnym rozwiązaniem przy stosowaniu produktów do pielęgnacji jamy ustnej i profilaktyki próchnicy jest konsultacja ze stomatologiem. Lekarz będzie mógł ocenić konkretne warunki jamy ustnej, nawyki pacjenta, obecność lub brak fluoru w wodzie, aby polecić idealne produkty. Wyjaśni również, jak z nich korzystać i jak długo.
Dlatego częste wizyty u dentysty to najlepszy sposób na ochronę jamy ustnej. Rozmowa z dentystą o obawach związanych ze stosowaniem fluoru i zaufanie do jego rad pozwoli Ci zawsze chwalić się zdrowym uśmiechem.
Wszystkie cytowane źródła zostały gruntownie przeanalizowane przez nasz zespół w celu zapewnienia ich jakości, wiarygodności, aktualności i ważności. Bibliografia tego artykułu została uznana za wiarygodną i dokładną pod względem naukowym lub akademickim.
- Guerrero-Concepción, Alexander, and Roger Domínguez-Guerrero. “Fluorosis dental y su prevención en la atención primaria de salud.” Revista Electrónica Dr. Zoilo E. Marinello Vidaurreta 43.3 (2018).
- JUDITH, ARJONA SERRANO. “PREVENCION DE FLUOROSIS DENTAL.” (2019).
- Brandt, Lorenna Mendes Temóteo, et al. “Relationship between risk behavior for eating disorders and dental caries and dental erosion.” The Scientific World Journal 2017 (2017).
- Lovón, Whashington E., and Rildo P. Tapia. “Tratamiento manifestaciones Clínicas Bucales de la Anorexia y Bulimia.” (2019).
- Palma-Portaro, Camila, et al. “Recomendaciones basadas en la evidencia para la prevención de caries en infantes.” Revista Odontología Pediátrica 16.2 (2017): 51-64.
- González Sanz, Ángel Miguel, Blanca Aurora González Nieto, and Esther González Nieto. “Salud dental: relación entre la caries dental y el consumo de alimentos.” Nutrición hospitalaria 28 (2013): 64-71.
- Duque de Estrada Riverón, Johany, José Alberto Pérez Quiñonez, and Iliana Hidalgo-Gato Fuentes. “Caries dental y ecología bucal, aspectos importantes a considerar.” Revista cubana de estomatología 43.1 (2006): 0-0.
- Villacís Lascano, Estela Cleofé, Catalina Del Rosario Boada Zurita, and Carlos Iván Aguirre Pinos. “El flúor en la reducción del índice de caries en niños de etapa escolar.” Dilemas Contemporáneos: Educación, Política y Valores 7 (2020).
- Bustamante, Omayra Cova, et al. “ANTISÉPTICOS ORALES: CLORHEXIDINA, FLÚOR Y TRICLOSÁN.” Salud & Vida Sipanense 7.1 (2020): 4-16.
- Miñana, Vitoria. “El flúor oral para la prevención de caries,¿ cómo, cuándo ya quién?.” Form Act Pediatr Aten Prim 5.2 (2012): 108-13.
- Nieto Maya, Gregory Jesús. Efectividad del barniz de flúor en lesiones iniciales de caries en el periodo 2018-2020. BS thesis. Universidad de Guayaquil. Facultad Piloto de Odontología, 2020.
- Cabello Marquez, Juan José. “EFICACIA DEL USO TOPICO DE FLUOR PARA LA PREVENCIÓN DE CARIES DENTAL EN NIÑOS DE 6 AÑOS DEL CENTRO POBLADO SANTA ROSA DE SIRABAMBA, HUANUCO 2018.” (2019).
Ten tekst jest oferowany wyłącznie w celach informacyjnych i nie zastępuje konsultacji z profesjonalistą. W przypadku wątpliwości skonsultuj się ze swoim specjalistą.







